ここから本文です。
側弯・脊柱変形外来のご案内
最終更新日 2026年4月1日
特徴
側弯・脊柱変形外来では、コルセットなどの装具による進行の予防、脊柱の曲がり具合やねじれが大きい場合には、手術による矯正を行っています。その他の脊椎脊髄疾患についても診療を続けます。
診療日
担当医の紹介
脊柱側弯症について
脊柱側弯症とは正面から見た時に側方に曲がっている状態(側弯)、さらに椎体のねじれ(回旋)が伴う状態です。脊柱側弯症の種類にも様々なものがあります。その中で一番頻度の高いものは思春期特発性側弯症です。特発性は「原因が分からない」という意味です。早期に判明した場合や、進行のゆるやかな場合は、装具による進行を予防します。弯曲の程度や、脊柱の捻れが大きい場合には手術による矯正の適応となります。弯曲の大きい側弯は成長終了後も毎年僅かずつ進行し、将来的に高度の変性側弯症になってしまうからです。側弯症の診断ではEOSという画像検査により、弯曲のタイプ・進行具合を確実に診断できるので、治療方針の決定に大いに役立ちます。
手術は側弯治療に特化した医師がナビゲーションシステムや神経モニタリングを駆使して、安全・正確に行っています。通常、7-10日間程度の入院が必要です。多くの場合は後方から金属を使用して矯正固定を行います。腰椎側弯の一部に対しては前方から矯正固定を行っています。
症例紹介
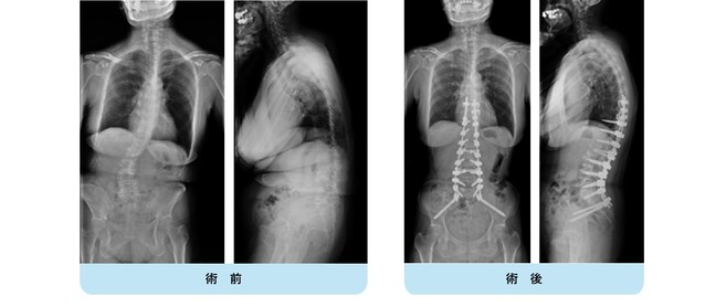
思春期特発性側弯症の全脊椎レントゲンで背骨が大きくSの字に曲がっています。最も曲がっている箇所は80°で、高度側弯に分類されます。後方からの脊柱側弯矯正術で真っ直ぐになっています。
また、側弯の患者さんは一般的にフラットバックと言って背骨の生理的後弯(背中の丸み)が失われています。この症例も胸椎後弯角は5°で典型的なフラットバックを呈しています(正常は20°~30°程度です)。この影響は頸椎の形態にも影響を及ぼし、この症例も頸椎が既に後弯(正常は前弯)しています。(黄色矢印)
ストレートネックという頸椎の前弯が消失して頸部の愁訴が出現する病態は広く知られていますが、更に変形が進行した頸椎と考えて下さい。
以前はこのフラットバック(生理的胸椎後弯の消失)を治すことは困難でしたが、当院では手術方法の様々な工夫により生理的胸椎後弯の復元を行っております。この症例は術後に胸椎後弯角が26°と改善しており、生理的な胸椎後弯が形成されています。さらに頸椎後弯にも良い影響を及ぼし、術後は頸椎前弯化が得られつつあるのが分かります。(黄色矢印)
他、側弯変形は必ず大なり小なりの回旋変形を伴います。脊柱の回旋変形は胸郭(肋骨)の回旋につながり、これにより側弯の患者さんは背中の片方が出っ張っています(多くは右)。リブハンプと言いますが、脊柱変形矯正によりこの回旋変形も改善します。この症例も術前に肋骨がかなり隆起していますが、術後にこの隆起がかなり減じているのが分かります。(赤色矢印)
思春期特発性側弯症の全脊椎レントゲンで背骨がSの字に曲がっています。最も曲がっている箇所は52°で、成長終了後も高率にカーブが進行し続けます。50°前後の側弯であれば手術により80%以上まっすぐにすることができます。通常は70%程度の矯正率で良いとされていますが、本来出来るだけまっすぐする手術であり、バランスが損なわれるようなことがなければ我々は矯正率80%を目指しています。
この症例は術後の側弯角は8°で、矯正率は85%でした。また肩バランスも水平で保たれています。また注目すべきは腰の曲がりです。術前のレントゲンをみると腰にも側弯があるのが分かります。(黄色矢印)
腰椎の可動性を残すために、胸椎の側弯に絞って矯正固定を行い腰椎の側弯が引っ張られて改善することを期待しました。術後のレントゲンをみると金属が埋め込まれていない腰椎の側弯が大きく改善しているのが分かります。(黄色矢印)
この症例についても、横から見ると術前に右の背中が肋骨隆起(リブハンプ)により出っ張っています。(赤色矢印)
手術により側弯だけでなく回旋矯正、生理的胸椎後弯形成が成され、術後は右の背中の出っ張りがなくなり生理的な背中全体の丸みが復元されているのが分かります。(赤色矢印)
このように我々は側弯だけでなく、本来の生理的なshapeを取り戻すことを目標に治療を行っています。
思春期特発性側弯症が高度に進行した症例です。最大側弯角度は113°であり、100°を超える側弯の手術は一般的に神経合併症が危惧されます。神経合併症を極力防ぐため、また侵襲を低減する目的で、同じ入院期間に2回に分けて段階的に矯正手術を行いました。1回目に最も側弯の強い箇所に対して側方から椎体間解離を行い、2回目に後方から全体のバランスが良くなるように慎重に矯正固定術を施行しています。
神経合併症はなく、術後の最大側弯角度は15°に改善(矯正率:87%)、背中の大きなコブも無くなっているのが分かります。(赤色矢印)
神経合併症が発生しないように慎重に手術を行うのは当然ですが、側弯を治すだけでなく横から見た姿勢を治すことにも留意しています。
腰椎が曲がっているタイプの特発性側弯症です。
前方からの脊柱側弯矯正固定術で真っ直ぐになっています。
比較的短い範囲の矯正固定術で可動椎間を多く残せることがメリットです。
成人脊柱変形について
高齢化社会に伴い近年増加傾向の疾患で、脊柱変形が進行して難治性腰痛や体幹バランス悪化による歩行障害を引き起こします。高齢期の進行した脊柱変形は、現状では手術治療以外に有効な根本的治療法がありません。
症状が軽かったり日常生活で特に困らなければ、運動療法と経過観察で十分です。
しかし、腰曲がりに伴う腰痛で
- 台所の仕事も常に肘をどこかに着いていないとだめ
- 歩くとすぐに休んでしまう
- 支えがないと歩けない
など、お困りの方は年のせいだと諦めないで手術治療により改善の余地があることを知っておいてください。
以前の成人脊柱変形に対する手術は大変侵襲が大きく、また合併症が頻発しました。しかし、近年は腰椎側方進入前方固定術→胸腰椎仙椎後方矯正固定術と手術を2段階に行うことで飛躍的に安全性・正確性・矯正率が向上しました。
症例紹介
変性後側弯症で正面・側面ともに体幹バランスが破綻しています。
まず腰椎側方進入前方固定術を行い、ある程度の矯正、土台を形成。1週間後に胸腰仙椎後方矯正固定術を行いました。
正面・側面ともにバランスが良好に維持され、難治性の腰痛が改善しました。
【術前】
典型的な変性後側弯症、成人脊柱変形の症例です。
正面、側面いずれもバランスが破綻していて、立位持続・歩行が困難な状態です。
【術後】
腰椎側方経路椎体間固定術と後方矯正固定術を2回に分けて行い、正面・側面ともに生理的なshapeが獲得されています。
重要なことは、近年この生理的なshapeを取り戻すことが腰痛・歩行障害など患者さんの愁訴の改善に直結することが分かっていることです。
【術前】
典型的な思春期特発性側弯症遺残変形・進行に伴う変性後側弯症・成人脊柱変形の患者さんです。
正面・側面のバランスは破綻していて、難治性腰痛・脊柱管狭窄由来の下肢神経痛のためほぼ寝たきりとなっていました。
【術後】
通常通り侵襲を軽減する目的で腰椎側方経路椎体間固定術、後方矯正固定術を2回に分けて行いました。
正面・側面のバランスは良好で生理的な腰仙椎・体幹のshapeが獲得されています。
腰痛、下肢神経痛は皆無となり、適度の散歩など穏やかな日常生活がおくれるようになりました。
高度腰曲がり・脊柱後弯症・成人脊柱変形の患者さんです。
難治性の腰痛、バランス不良により歩くことも困難な状態でした。
腰椎側方経路椎体間固定術と後方矯正固定術を2回に分けて行い、生理的な胸椎後弯・腰仙椎前弯・骨盤前傾が復元されました。
腰痛・歩行障害は改善し、近所のスーパーへ歩いて買い物にも行けるようになり、台所の仕事も痛みなく出来るようになりました。
このページへのお問合せ
脳卒中・神経脊椎センター医事課
電話:045-753-2500(代表)
電話:045-753-2500(代表)
ファクス:045-753-2904(直通)
ページID:605-698-142





