- 横浜市トップページ
- 健康・医療・福祉
- 健康・医療
- 市立病院
- 横浜市立脳卒中・神経脊椎センター
- 診療科・各部門のご案内
- 整形外科
- 脊柱側弯症について
ここから本文です。
脊柱側弯症について
最終更新日 2025年4月1日
脊柱側弯症とは
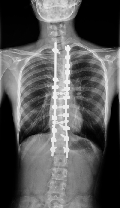
脊柱側弯症とは、左の画像のように正面から見た時に側方に曲がり(側弯)、さらに椎体のねじれ(回旋)が伴う状態です。
側弯症になると、片側の肋骨がコブ状になったり、左右の肩や肩甲骨の高さの違いが目立ったり、ウエストラインが非対称になったりします。
特発性側弯症
脊柱側弯症の原因にも様々なものがありますが、その中で一番頻度の高いものは特発性側弯症です。特発性とは原因が分からないという意味です。
発症する時期は、乳児期(3歳未満)、幼児期(3歳~10歳)、思春期(10歳以降)に分類され、大部分は幼児期の後半から思春期に発生します。変形の多くは、停滞することなく進行し、重症化すると外見的な問題や腰・背部痛や呼吸器・循環器障害を起こしていきます。
早期に判明した場合や、進行のゆるやかな場合は、装具による進行を予防します。弯曲の程度や、脊柱の捻れが大きい場合には手術による矯正の適応となります。なぜならば、弯曲の大きい側弯は成長終了後も毎年僅かずつ進行し、将来的に高度の変性側弯症になってしまうからです。
側弯専門外来を開設していることもあり、思春期特発性側弯症の患者さんが、外来・入院・手術を含めてたくさんいらっしゃることも当院の特徴です。多くの側弯は軽いもので経過観察のみで十分です。しかし、ある程度以上側弯が進行してしまい、大人の骨にまだなっていないようであれば前述のとおり装具治療をお勧めします。また、一部の患者さんはそれでも側弯が進行し続けてしまうことはありますので、その場合には時期をみて手術治療をお勧めしています。
当然ですが手術治療により曲がった背骨は相当真っすぐになり、体幹の捻じれや背中のコブ(出っ張り)も改善します。おおよそ10日間程度の入院が必要になります。毎週火曜日と木曜日に側弯・脊柱変形外来を開設しています。側弯・背骨の変形についてお困りの方は是非一度お気軽にご相談下さい。紹介状などなくても受診できます。(側弯・脊柱変形外来はこちら)
側弯症は専門医師による早期診断と早期治療介入が大切です。体操・カイロプラクティック・民間療法ではよくならないことが、すでに様々な研究で判明しています。気になる方は是非、当院の側弯・脊柱変形外来をお気軽に受診してください。(側弯・脊柱変形外来はこちら)
詳しくは主な疾患と治療法の脊柱側弯症をご覧ください。
脊柱側弯症の早期発見と診断
平成26年4月より市立小中学校での校医による健康診断のうち「脊柱及び胸郭の疾病・異常の有無」の検査項目について、保護者による脊柱側弯症健診アンケートを導入し、側弯症検診(1次検診)の精度の向上を図っています。
側弯症を早期に発見し治療できるよう、横浜市教育委員会が学校から保護者に「受診のおすすめ」を配布してもらい、整形外科医会の先生方に2次検診のご協力をしていただいていているところです。
側弯症の早期発見のために
側弯症を早期に発見するためには、保護者による日々の観察が重要になります。
日常における姿勢の異常に注意するほか、とくに、上半身裸になる機会を利用し、次のような観察を行うことが、早期発見につながります。
こどもは体が柔らかく、図の姿勢でよく観察しても、1センチほどしか差異が出ない場合もあります。
少しでも異常を感じたら、整形外科医の診断を受けることが大切です。
家庭でできる側弯症チェック
(1)後ろ向きに「気を付け」の姿勢で
A.肩か肩甲骨の高さが違う
B.ウエストラインが非対称
(2)両手を合わせてお辞儀の姿勢で、背部の左右の高さが違う
(3)より深いお辞儀の姿勢で、背部の左右の高さが違う
側弯症の診断と治療
他の脊椎脊髄疾患と比較して、脊柱側弯症に対する診断および治療には専門的な知識や技術、経験が必要となります。
放射線被ばくによる健康被害が重大な関心事となっている昨今、特に小児は成人より放射線感受性が高いため、側弯検診でもレントゲン撮像を減らすことが重要です。
当院では、脊椎、腰、股関節の形体・配列の評価を行うことができるX線撮影装置「sterEOS(イオス)イメージングシステム」を県内で初めて(国内で3機目)導入しており、この装置では、通常のX線撮影と比較して50%、CT撮影と比較して95%放射線量を低減した撮影ができます。また、マイクロドーズモードを使用することで、経過観察の小児や、経過治療中に頻回の撮影を必要とする疾患の患者さんに対し、さらなる放射線被ばく低減を可能にします。
sterEOSイメージングシステム
このEOSの画像検査により、低被爆で弯曲のタイプ・進行具合を確実に診断出来るので、治療方針の決定に大いに役立ちます。
「脊柱側弯症ってどんな病気?」のご案内
当院では市民の皆様へ向けた病気の普及啓発をおこなっております。
脊柱側弯症に関する基礎知識をまとめたリーフレットを掲載しますので、お役立ていただければと思います。
このページへのお問合せ
脳卒中・神経脊椎センター医事課
電話:045-753-2500(代表)
電話:045-753-2500(代表)
ファクス:045-753-2904(直通)
ページID:571-349-637





