ここから本文です。
整形外科
最終更新日 2026年4月3日
整形外科の紹介
2007年に超高齢社会に突入した日本では、今後も高齢者率の増加が予測されています。整形外科が治療を行うのは骨、関節、神経、筋肉からなる運動器です。加齢に伴って各組織に変化が生じ、様々な疾患を発症します。その中で変形性脊椎症や関節症の頻度が高く、腰痛や関節痛の原因となります。これらの病気は、喫煙、食事、運動などの生活習慣や仕事の内容などにより影響を受け、また緩徐に進行するので、障害に気づきにくいのが特徴となります。気づいた頃には歩行や階段の昇降が困難となり、移動の制限によって、日常生活の障害が強くなります。また運動不足により心臓や肺などの病気の誘因となります。
症状が軽い場合には、運動療法、注射や内服薬で痛みを抑える薬物治療や、コルセットなどで体を支える装具療法といった保存療法があります。痛みや変形が強く、保存療法では効果があまり出ない場合や見込めない場合には手術による治療をおこないます。
手術では術中・術後感染のリスクを最小限にすることを目的として、バイオクリーンルーム(空気清浄度クラス100:約28L中に0.5ミクロン以上の微粒子が100個以下)を設置しています。特に人工関節やロッドなど人工物を挿入する手術では術後感染は大きな問題となるため、金属を入れるインストゥルメンテーション手術は基本的にはすべてバイオクリーンルームで行っています。入院手術後はリハビリテーション科医師と約80名のリハビリテーションスタッフと協力し、患者さん一人ひとりにあわせて充実したリハビリテーションを行っています。
脊椎脊髄の治療
脊椎(せぼね)は頚椎(7椎)、胸椎(12椎)、腰椎(5椎)、仙椎(5椎)および尾椎(3-6椎)で構成されています。
脊椎の前方には椎体がありその間にはクッションの役割をする椎間板があります。
その後方に頚椎から仙骨上部までは脊柱管があり脊髄や馬尾神経がその中にあります。
これらの脊椎の異常のため痛みだけでなく、手足のしびれや力が入らない、手指や下肢がぎこちないなど様々な症状を引き起こす病気を扱います。
特徴
四肢のしびれや歩行障害などを呈する脊髄炎や脳血管疾患との鑑別には脳神経内科と連携し診断、治療にあたっています。また、脊髄腫瘍の手術には脊髄領域を専門とする脳神経外科と協力して治療をおこなっています。
脊椎脊髄疾患に対する診断、治療に関しては患者さんひとりひとりの症状にあわせて3.0テスラMRI、320列マルチスライスCT、筋電図検査などを用いて正確に診断し保存的あるいは外科的治療の方針を決定しております。MRIは3.0テスラと1.5テスラの2機を有しており、脊髄疾患では従来の画像に加えてより詳細な脊髄の機能診断を、腰仙椎疾患に対してはMRミエログラフィーなどにより神経根の形態診断を行っています。
手術では、インストゥルメンテーション(スクリュー、ロッド、ケージなどの体内、骨内に埋め込む金属)設置の精度を高めるためナビゲーションシステムを多用しております。また3次元画像の構築可能なX線透視診断装置(Ziehm Vision FD)により術中に正確なインストゥルメンテーション(主にスクリュー)の設置を確認することが出来るようになりました。頸椎・胸椎疾患、脊髄疾患、側弯症などの脊柱変形の手術では脊髄誘発電位による術中モニタリングという頭や脊髄に電気刺激をして下肢の神経筋に電気が正常に伝わっているかを確認する方法を用いて安全に手術を行います。
「内視鏡を用いた小侵襲腰椎手術の増加」
近年は腰椎椎間板ヘルニアに対する、内視鏡下ヘルニア切除術、腰部脊柱管狭窄症に対する内視鏡下椎弓切除術(除圧術)を積極的に行っています。これまでのオープン手術と比較して手術の傷はさらに小さくなり、背筋に対するダメージが減少するため、回復がとても早いのが魅力です。
骨粗鬆症をともなった脊椎椎体骨折に対する椎体形成術(BKP:Baloon Kypoplasty、骨折部に骨セメントを充填する手術)は第一選択となる低侵襲な手術方法ですが、近年は症例によってセメント補強の出来るスクリューを使用した後方固定や、ステント付き骨セメント充填など新しい方法でさらに適応範囲が広がっています。椎体形成術では対応出来ないような圧潰が高度の椎体骨折に対しては、脊椎専門医が骨切り術・前方後方同時固定術・椎体置換術など比較的難易度の高い手術を安全に行います。
当院では近年増加傾向の成人脊柱変形矯正手術も積極的に行っています。以前は成人・お年寄りの腰曲がり・脊柱変形に対する適切な手術方法がなく、そのような患者さんで日々困っているような方がいらしても対症療法を行うことしかできませんでした。しかし昨今、成人・お年寄りの腰曲がり・脊柱変形は手術に耐えられる体力と治療意欲があれば多くが治せる時代になりました。腰仙椎を固定することにより体の柔軟性が失われ、日常生活動作に多少影響が出てくるものの、大幅な疼痛の改善、体幹バランスの安定、歩行能力の向上など得られるメリットはとても大きいです。腰が曲がって辛いのを「年だから」と治療を諦めてしまっている患者さんが多いですが、まず腰曲がりによる難治性疼痛を病気と認識して頂くことが大事です。つまり病気であれば、治療できる可能性があるので是非一度お気軽にご相談下さい。毎週火曜日と木曜日に側弯・脊柱変形外来を開設しています。紹介状なしでの受診も可能ですので、ご利用下さい。(側弯・脊柱変形外来はこちら)
側弯専門外来を開設していることもあり、思春期特発性側弯症の患者さんが、外来・入院・手術を含めてたくさんいらっしゃることも当院の特徴です。多くの側弯は軽いもので経過観察のみで十分です。しかし、ある程度以上側弯が進行してしまい、大人の骨にまだなっていないようであれば装具治療をお勧めします。また、一部の患者さんはそれでも側弯が進行し続けてしまうことはありますので、その場合には時期をみて手術治療をお勧めしています。当然ですが手術治療により曲がった背骨は相当真っすぐになり、体幹の捻じれや背中のコブ(出っ張り)も改善します。おおよそ10日間程度の入院が必要になります。(側弯・脊柱変形外来はこちら)
脊柱側弯症について、低被爆で正確な立位全脊椎骨形態を評価することが可能なX線撮影装置EOS(イオス)を用いた診療を行っております。また、平成26年度から学校健診で脊柱側弯症健診アンケートを実施しており、側弯症検診の精度向上を図っています。当院は思春期特発性側弯症に対する手術実績は多く、年間40例程度です。安全第一を心掛けつつ、妥協しない変形矯正により患者さんが生理的なshapeを取り戻すように全力を注いでいます。
成人脊柱変形・脊柱側弯症などの変形疾患は専門性の高い医療施設での治療が原則です。当院は、一般的な変性疾患・外傷はもちろんのこと、この成人脊柱変形・脊柱側弯症などの変形疾患の診断、治療に特化した医療施設ですので、お困りの患者さんはお気軽にご相談下さい。
主な疾患と治療法
- 頚椎症性頚髄症
- 頚椎後縦靭帯骨化症(頚椎OPLL)
- 頚椎椎間板ヘルニア
- 胸髄症(ヘルニア・脊柱症・靱帯骨化)
- 腰椎椎間板ヘルニア
- 腰部脊柱管狭窄症
- 腰椎変性すべり症
- 腰椎変性側弯症
- 脊椎分離症・すべり症
- 脊髄腫瘍
- 脊柱側弯症
- 壮年期特発性側弯症遺残変形
- 成人脊柱変形(高度変性側弯症・変性後側弯症・脊柱後弯症・腰曲がり)
- 骨粗鬆症・脊椎椎体骨折
頚椎症性頚髄症
加齢変化による椎間板の膨隆・骨棘(骨のとげ)の変化によって、頚椎の脊柱管の中にある脊髄が圧迫されて頚部や肩の痛み、手足のしびれ、手指の巧緻運動(細かい作業)障害、歩行障害などの症状がでる疾患です。
一般的に日常生活に支障があるような手指の巧緻運動障害、階段昇降に手すりが必要となると脊髄の障害は重症で手術的治療が必要です。
術前MRIでは多椎間で脊髄(灰色)を圧迫しています。後方手術施行後、脊髄への圧迫は改善しています。
頚椎後縦靭帯骨化症(頚椎OPLL)
頚椎の椎体の後面に脊髄と接している後縦靱帯が骨化して、脊髄を圧迫する疾患です。進行すると脊髄圧迫による頚部や肩の痛み、手足のしびれ、手指の巧緻運動(細かい作業)障害、歩行障害などを生じます。
脊髄の圧迫の程度を評価するにはMRI検査が有効です。症状が軽い場合は、装具療法、薬物療法などの保存療法を行います。手指の巧緻運動障害や歩行障害が出てきた場合には、手術が必要となる可能性が高いです。
手術は前方から骨化を取り除き、骨を移植して固定する前方除圧固定術と、後方から椎弓を形成して脊髄の圧迫を解除する椎弓形成術があります。また、症状がないか軽くても転倒などの怪我で脊髄麻痺を生じることがあるので注意が必要です。なお厚生労働省特定疾患として認められています。
頚椎OPLLを認め脊髄を圧迫している状態です。前方からの骨化浮上術により症状は改善しています。
頚椎椎間板ヘルニア
頚椎の疾患の中で頻度の高い病態の一つです。症状はヘルニアの突出方向によって異なります。一般的には左右どちらかに偏って突出することが多く、脊髄から分岐した片側の神経根(神経の枝)を圧迫することにより、片側の頚部から肩及び肩甲骨や腕などの痛みやしびれを生じ、筋力低下を呈することもあります。また、中央に大きく突出した場合には、脊髄の本幹を圧迫することにより、手指の細かな運動がしづらい、歩行障害や膀胱直腸障害(頻尿、尿閉、尿失禁など)などの症状が出現します。
治療は保存的加療が中心ですが、脊髄や神経根の圧迫による神経障害が出現した場合には早期に手術を要する場合もあります。
頚椎椎間板ヘルニアを認め脊髄(灰色)を圧迫している状態です。骨移植を伴う頚椎前方固定術により症状は改善しています。
胸髄症(ヘルニア・脊柱症・靱帯骨化)
胸椎黄色靱帯骨化症
脊柱管の後方にある椎弓の間を結ぶ靱帯の黄色靱帯が骨化し、脊柱管が狭くなり、神経の圧迫症状が出現してくる病気です。病気の原因は不明です。一般的に中年以降に発症し、最初の症状は下肢の脱力やこわばり、しびれ、腰背部痛や下肢痛が出現してきます。症状が進行してくると歩行障害や膀胱直腸障害(頻尿、尿閉、尿失禁など)が出現し、手術的に骨化を除去する必要があります。
胸椎黄色靱帯骨化症を認め脊髄を圧迫している状態です。骨化部分を切除することで脊髄の圧迫を解除し症状は改善しています。
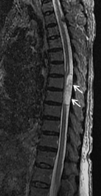
腰椎椎間板ヘルニア
通常は手術をせずに保存的治療(薬、注射、理学療法など)で治癒する場合が多いですが、適切な治療にも関わらず下肢の痛みが治らない場合、下肢の麻痺が進行する場合や排便障害がでてくるような場合には、手術が必要です。
手術は、皮膚を切る範囲は3cm程度で、顕微鏡を用いて筋肉や神経にとって愛護的に行う低侵襲手術で行います。翌日から歩行可能で1週間前後の入院期間で治療できます。
近年はさらに小さい傷で、内視鏡を用いたヘルニア手術を積極的に行っています。
術前MRIでは腰椎椎間板ヘルニアを認め、神経の圧迫を認めています。後方からのヘルニア摘出術により神経症状は劇的に改善しました。
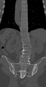
腰部脊柱管狭窄症
脊柱には神経の通り道である脊柱管があります。長い年月で脊柱が変形し、脊柱管が狭くなってきます。腰椎部で脊柱管が狭くなった状態を腰部脊柱管狭窄と呼び、坐骨神経痛という下肢の神経痛やしびれ、脱力が発生します。時には、両下肢のしびれの他に、排尿後にまだ尿が完全に出し切れない感じ(残尿感)、便秘などの膀胱・直腸症状が発生します。そのため長距離を続けて歩くことができなくなり、歩行と休息を繰りかえす間欠性跛行という状態になります。
運動療法、内服薬、神経ブロックなどの保存療法で改善の得られない症例では除圧術や脊椎固定術などの手術が必要となることがあります。
術前MRIでは脊柱管の狭窄を認め、神経の圧迫を認めています。後方からの除圧術後、神経への圧迫は改善しています。
近年は小さい傷で、内視鏡を用いた脊柱管除圧を積極的に行っています。
腰椎変性すべり症
変性すべり症は、腰椎が前後にずれてしまう病気で、中年以降の女性に発症しやすく、第4番目の腰椎によく認められます。多くは加齢とともに腰椎の椎間板や関節・靭帯がゆるみ、腰椎が不安定性をともなってずれるようになり、脊柱管が狭窄することで神経が圧迫されて、腰痛や下肢の痛み・しびれが生じます。
下肢の疼痛やしびれが強い場合は、神経ブロックなどを試みますが、これらの保存療法で改善の得られない症例では除圧術や脊椎固定術などの手術が必要となることがあります。
第4腰椎の前方へのすべりのため神経の圧迫を認めています。腰椎後方からずれを金属で整復固定し神経症状が改善しています。
階段状に腰椎が変性すべりをおこしている症例
【術前】
第2, 第3, 第4腰椎に前方への変性すべりを認めます。痛みのため背中を反って立てないことが分かります。MRIではいずれの椎間でも強い脊柱管狭窄が発生し、神経が圧迫されているのが分かります。
【術後】
スクリューとロッド、人工骨を使用した手術により腰椎の階段状変性すべりが整復され、痛みが改善したため腰を反って立つことが出来ています。第2腰椎の前方すべりは軽微であったため、金属は使わず除圧術のみに留めています。
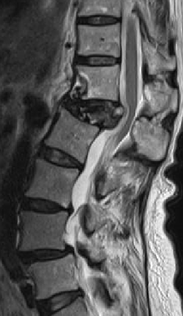
腰椎変性側弯症
腰椎変性側弯症は中年以降に腰椎の変性・側弯変形により腰痛・下肢痛・しびれや歩行障害等生じるものです。
病態は複雑で、側弯があるから必ずしも症状が生じるわけではありません。原因を精査する必要があります。
術前MRIでは腰椎正面で弯曲を認めています。多椎間の脊椎固定術を施行し症状が改善しています。
変性側弯症の患者さんで、難治性の腰痛と夜間も続く坐骨神経痛のために日常生活が困難でした。下位腰仙椎の多椎間で変性、側弯変形を認めます。
腰仙椎前方後方同時固定術による側弯変形の矯正、神経の除圧を行いました。悩んでいた腰痛がなくなり、坐骨神経痛が無くなったため夜間も穏やかに眠れるようになりました。
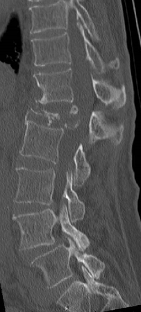
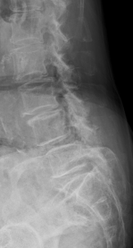
脊椎分離症・すべり症
脊椎分離症は、脊椎の関節突起間部といわれる部位で本来つながっているべき骨が絶たれてしまっている(分離している)疾患です。主に腰椎に生じ、スポーツを行なう学童期に多く発症することから原因は腰にかかる繰り返しの外力による疲労骨折と考えられています。治療はリハビリテーションによる保存的加療が中心となりますが症例によっては手術による分離部固定術が必要になることもあります。
【術前】
CT検査で関節突起部に腰椎分離症を認めています。若年者の腰痛の原因となります。
【術後】
CT検査で関節突起部の骨移植を伴う分離部修復術を施行し骨癒合が得られています。
脊髄腫瘍
脊髄腫瘍とは脊髄およびその枝にできる腫瘍です。1年間に10万人当たり1~2人程度の発生頻度といわれています。発生部位によって名前が違い、硬膜外腫瘍、硬膜内腫瘍、髄外腫瘍、髄内腫瘍があります。硬膜の外の腫瘍を硬膜外腫瘍、硬膜の内側の腫瘍を硬膜内腫瘍と呼びます。硬膜内腫瘍の中で、脊髄の外部の腫瘍を髄外腫瘍、脊髄内部の腫瘍を髄内腫瘍と呼んでいます。
硬膜内腫瘍では髄外腫瘍が多く、ほとんどが良性腫瘍(神経鞘腫や髄膜腫)です。硬膜内髄内腫瘍は稀ですが、治療に難渋するものが少なくありません。
硬膜内髄外腫瘍を認め脊髄を圧迫している状態です。病理組織検査は良性腫瘍(神経鞘腫)です。
脊柱側弯症
脊柱側弯症とは正面から見た時に側方に曲がっている状態(側弯)、さらに椎体のねじれ(回旋)が伴う状態です。脊柱側弯症の種類にも様々なものがあります。その中で一番頻度の高いものは思春期特発性側弯症です。特発性は「原因が分からない」という意味です。早期に判明した場合や、進行のゆるやかな場合は、装具による進行を予防します。弯曲の程度や、脊柱の捻れが大きい場合には手術による矯正の適応となります。弯曲の大きい側弯は成長終了後も毎年僅かずつ進行し、将来的に高度の変性側弯症になってしまうからです。側弯症の診断ではEOSという画像検査により、弯曲のタイプ・進行具合を確実に診断できるので、治療方針の決定に大いに役立ちます。
手術は側弯治療に特化した医師がナビゲーションシステムや神経モニタリングを駆使して、安全・正確に行っています。通常、7-10日間程度の入院が必要です。多くの場合は後方から金属を使用して矯正固定を行います。腰椎側弯の一部に対しては前方から矯正固定を行っています。
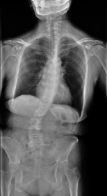
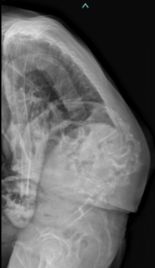
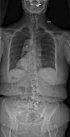
思春期特発性側弯症の全脊椎レントゲンで背骨が大きくSの字に曲がっています。最も曲がっている箇所は80°で、高度側弯に分類されます。後方からの脊柱側弯矯正術で真っ直ぐになっています。
また、側弯の患者さんは一般的にフラットバックと言って背骨の生理的後弯(背中の丸み)が失われています。この症例も胸椎後弯角は5°で典型的なフラットバックを呈しています(正常は20°~30°程度です)。この影響は頸椎の形態にも影響を及ぼし、この症例も頸椎が既に後弯(正常は前弯)しています。(黄色矢印)
ストレートネックという頸椎の前弯が消失して頸部の愁訴が出現する病態は広く知られていますが、更に変形が進行した頸椎と考えて下さい。
以前はこのフラットバック(生理的胸椎後弯の消失)を治すことは困難でしたが、当院では手術方法の様々な工夫により生理的胸椎後弯の復元を行っております。この症例は術後に胸椎後弯角が26°と改善しており、生理的な胸椎後弯が形成されています。さらに頸椎後弯にも良い影響を及ぼし、術後は頸椎前弯化が得られつつあるのが分かります。(黄色矢印)
他、側弯変形は必ず大なり小なりの回旋変形を伴います。脊柱の回旋変形は胸郭(肋骨)の回旋につながり、これにより側弯の患者さんは背中の片方が出っ張っています(多くは右)。リブハンプと言いますが、脊柱変形矯正によりこの回旋変形も改善します。この症例も術前に肋骨がかなり隆起していますが、術後にこの隆起がかなり減じているのが分かります。(赤矢印)
思春期特発性側弯症の全脊椎レントゲンで背骨がSの字に曲がっています。最も曲がっている箇所は52°で、成長終了後も高率にカーブが進行し続けます。50°前後の側弯であれば手術により80%以上まっすぐにすることができます。通常は70%程度の矯正率で良いとされていますが、本来出来るだけまっすぐする手術であり、バランスが損なわれるようなことがなければ我々は矯正率80%を目指しています。
この症例は術後の側弯角は8°で、矯正率は85%でした。また肩バランスも水平で保たれています。また注目すべきは腰の曲がりです。術前のレントゲンをみると腰にも側弯があるのが分かります。(黄色矢印)
腰椎の可動性を残すために、胸椎の側弯に絞って矯正固定を行い腰椎の側弯が引っ張られて改善することを期待しました。術後のレントゲンをみると金属が埋め込まれていない腰椎の側弯が大きく改善しているのが分かります。(黄色矢印)
この症例についても、横から見ると術前に右の背中が肋骨隆起(リブハンプ)により出っ張っています。(赤色矢印)
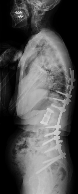
手術により側弯だけでなく回旋矯正、生理的胸椎後弯形成が成され、術後は右の背中の出っ張りがなくなり生理的な背中全体の丸みが復元されているのが分かります。(赤色矢印)
このように我々は側弯だけでなく、本来の生理的なshapeを取り戻すことを目標に治療を行っています。
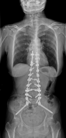
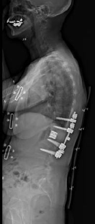
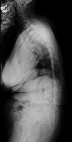
思春期特発性側弯症が高度に進行した症例です。最大側弯角度は113°であり、100°を超える側弯の手術は一般的に神経合併症が危惧されます。神経合併症を極力防ぐため、また侵襲を低減する目的で、同じ入院期間に2回に分けて段階的に矯正手術を行いました。1回目に最も側弯の強い箇所に対して側方から椎体間解離を行い、2回目に後方から全体のバランスが良くなるように慎重に矯正固定術を施行しています。
神経合併症はなく、術後の最大側弯角度は15°に改善(矯正率:87%)、背中の大きなコブも無くなっているのが分かります(赤矢印)。神経合併症が発生しないように慎重に手術を行うのは当然ですが、側弯を治すだけでなく横から見た姿勢を治すことにも留意しています。
腰椎が曲がっているタイプの特発性側弯症です。前方からの脊柱側弯矯正固定術で真っ直ぐになっています。比較的短い範囲の矯正固定術で可動椎間を多く残せることがメリットです。
壮年期特発性側弯症遺残変形
思春期特発性側弯症が進行し、壮年期(40代頃)になり難治性腰痛のために日常生活動作に支障が出てくるようになった状態のことです。10代とは異なり側弯は著しく進行していて、腰椎椎間板に既に変性が出現していることが問題になります。また、背骨は曲がったままの状態で通常柔らかさが著しく損なわれています。なかなか治療が難しいのですが、成人脊柱変形に対して行っているような腰仙椎矯正固定を何とか回避して(下位腰仙椎の可動性を何とか残すために)、通常の思春期特発性側弯症に行っているような矯正固定術に準じて手術を行っています。
40代の女性です。中学生の時に側弯を指摘されて装具治療を行っていましたが、途中で通院をやめてしまったようです。最近腰痛が顕著となり、仕事や日常生活に支障が出てきたため来院されました。著しい側弯変形を認め、側面では胸腰椎移行部の腰曲がりが既に出現しています。
腰椎側方経路椎体間固定術と後方矯正固定術を2回に分けて行い、下位腰仙椎の固定術を回避して生理的な姿勢、側弯の改善が得られました。腰痛は無くなり、仕事も痛みなく出来るようになりました。
40代の女性です。この方も10代の頃に側弯の診断で装具治療を勧められましたが、嫌で通院しなくなってしまったそうです。難治性腰痛で立ち仕事が困難になり、来院されました。著しい腰椎側弯を認め、椎体の形状も既に変形しているのが分かります。椎間板変性に伴う椎体骨棘もあり、背骨の柔らかさが完全に失われて曲がったまま硬く固くなっています。
前方進入による椎体間解離・腰椎側方経路椎体間固定術と後方矯正固定術を2回に分けて行い、下位腰仙椎固定を回避して全体のバランスを良くすることが出来ました。側弯は著明に改善、腰背部の出っ張り・腰曲がりが治っています。このように近年は下位腰仙椎機能を保ちつつ、壮年期特発性側弯症遺残変形を治療しています。
成人脊柱変形(高度変性側弯症・変性後側弯症・脊柱後弯症・腰曲がり)
高齢化社会に伴い近年増加傾向の疾患で、脊柱変形が進行して難治性腰痛や体幹バランス悪化による歩行障害を引き起こします。高齢期の進行した脊柱変形は、現状では手術治療以外に有効な根本的治療法がありません。
症状が軽かったり日常生活で特に困らなければ、運動療法と経過観察で十分です。
しかし、腰曲がりに伴う腰痛で
- 台所の仕事も常に肘をどこかに着いていないとだめ
- 歩くとすぐに休んでしまう
- 支えがないと歩けない
など、お困りの方は年のせいだと諦めないで手術治療により改善の余地があることを知っておいてください。
以前の成人脊柱変形に対する手術は大変侵襲が大きく、また合併症が頻発しました。しかし、近年は腰椎側方進入前方固定術→胸腰椎仙椎後方矯正固定術と手術を2段階に行うことで飛躍的に安全性・正確性・矯正率が向上しました。
変性後側弯症で正面・側面ともに体幹バランスが破綻しています。まず腰椎側方進入前方固定術を行い、ある程度の矯正、土台を形成。1週間後に胸腰仙椎後方矯正固定術を行いました。正面・側面ともにバランスが良好に維持され、難治性の腰痛が改善しました。
典型的な変性後側弯症、成人脊柱変形の症例です。正面、側面いずれもバランスが破綻していて、立位持続・歩行が困難な状態です。
腰椎側方経路椎体間固定術と後方矯正固定術を2回に分けて行い、正面・側面ともに生理的なshapeが獲得されています。重要なことは、近年この生理的なshapeを取り戻すことが腰痛・歩行障害など患者さんの愁訴の改善に直結することが分かっていることです。
典型的な思春期特発性側弯症遺残変形・進行に伴う変性後側弯症・成人脊柱変形の患者さんです。正面・側面のバランスは破綻していて、難治性腰痛・脊柱管狭窄由来の下肢神経痛のためほぼ寝たきりとなっていました。
通常通り侵襲を軽減する目的で腰椎側方経路椎体間固定術、後方矯正固定術を2回に分けて行いました。正面・側面のバランスは良好で生理的な腰仙椎・体幹のshapeが獲得されています。腰痛、下肢神経痛は皆無となり、適度の散歩など穏やかな日常生活がおくれるようになりました。
高度腰曲がり・脊柱後弯症・成人脊柱変形の患者さんです。難治性の腰痛、バランス不良により歩くことも困難な状態でした。
腰椎側方経路椎体間固定術と後方矯正固定術を2回に分けて行い、生理的な胸椎後弯・腰仙椎前弯・骨盤前傾が復元されました。腰痛・歩行障害は改善し、近所のスーパーへ歩いて買い物にも行けるようになり、台所の仕事も痛みなく出来るようになりました。
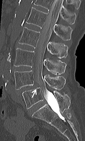
骨粗鬆症・脊椎椎体骨折
近年、高齢化社会に伴い骨粗鬆症を起因とする脊椎椎体骨折(いつの間にか骨折)が増加し、疼痛や寝たきりなどのADLの低下が問題となっています。多くの椎体骨折は局所後弯(曲がった背中)を生じることはあってもコルセットの装着などで通常そのまま骨癒合が得られ治ります。しかし、一部においては骨癒合が得られず偽関節となり強い痛みを生じたり、徐々に圧潰が進行し遅発性麻痺による歩行障害を生じたりすることがあります。これらに対する治療としては様々な方法がありますが、それぞれ一長一短があり、患者さんの全身状態、合併症、生活環境など考慮し治療方針を決定する必要があります。
骨粗鬆性椎体骨折の癒合遷延例や偽関節例で圧潰がひどくないタイプに対しては、低侵襲なセメント治療法であるBKP(BaloonKyphoplasty:バル-ン椎体形成術)という方法で治療することが可能です。BKP治療法の適応は、原発性骨粗鬆症による脊椎椎体骨折で十分な保存的加療によっても疼痛が改善されない患者さん、および多発性骨髄腫または転移性脊椎腫瘍による有痛性脊椎椎体骨折で、既存療法に奏功しない患者さんです。
BKP治療法は脊椎椎体骨折によりつぶれた背骨に、背中側から細い針を2か所(1cm程度)差込み、骨の中で風船を膨らませて、つぶれた骨の形を元に戻した後、空いた空間に骨セメントを詰め、脊椎椎体骨折の痛みをとるという治療法です。実際には手術治療を要する多くの骨粗鬆性椎体骨折は大なり小なりの後壁損傷を認め、その場合には罹患椎体にセメント充填を行いつつ上下の椎体にスクリューを挿入してロッドで架橋することにより補強・安定化を施しています。
不安定な椎体骨折に対してはBKPに後方固定を併用して再圧潰を防ぎます。
骨折部にセメントを注入し、金属を使用して補強しています。圧潰が高度で下肢が麻痺している場合には椎体置換術を行います。
近年は圧潰のやや進んだ骨粗鬆性椎体骨折に対して、骨折部にチタン製のステントを挿入してその中に骨セメントを充填するといった新しい手術方法で良好な治療成績が得られています。軽微な後壁損傷を伴った骨粗鬆性椎体骨折にも有用で、今後は治療成績が安定すればもっと適応範囲が広がることが予想されます。
第11胸椎椎体骨折を認めます。骨折部には黒いギャップが存在し、偽関節を呈しています。軽微な後壁損傷も認めます。第1腰椎は椎体骨折後の楔状化変形を認めますが、癒合しています。
骨折部にステントの殻を挿入し、ステント内に骨セメントを充填して治療しました。背中に5mm程度の切開を2か所おいて施します。ステントにより再圧潰が防がれ、また隣接椎体に対する負担も軽減されることが報告されています。
圧潰が高度な骨粗鬆性椎体骨折や骨片が神経を圧迫することにより下肢の麻痺が出現している場合には、罹患椎体を取り除き神経の圧迫を解除して金属の支柱による椎体置換術を行う必要があります。
椎体が粉砕し、一部が後方へ突出して神経を圧迫しています。下肢麻痺のため歩くことができませんでした。
金属と自家骨による椎体置換術を行い、歩いて退院しました。椎体骨折が数カ所に発生して腰曲がりが強い場合には成人脊柱変形に準じた治療が必要です。
椎体骨折が数カ所に発生し、いずれも圧潰が高度で偽関節を呈しています。高度の後弯症になっています。2椎体の椎体再建と後方矯正固定術により、元気に歩けるようになりました。
脊椎椎体骨折による腰や背中の痛みにお悩みの患者さんは当院の整形外科に是非ご相談ください。
第2腰椎と第3腰椎に高度の骨粗鬆性椎体骨折を認めます。連鎖した骨折椎体は原型を失い扁平化・楔状化を来し、強い腰曲がり・脊柱後弯を呈しています。強い腰痛と体幹バランス不良のため歩行不能でした。MRIでは神経が強く圧迫されているのが分かります。
圧潰して原型を失った第2腰椎と第3腰椎に対して前方進入椎体置換術を行い、後方から広範囲矯正固定術を行っています。亀背は残りましたが、腰痛・神経症状は大幅に改善して杖で歩くことができるようになりました。
骨粗鬆症性椎体骨折に対するセメント補強スクリューを使用した固定術
骨粗鬆性椎体骨折に対する手術で罹患椎体の上下をスクリューとロッドで架橋することにより、支持性・安定性を獲得する手術方法は一般的に行われています。
しかし多くの骨粗鬆性椎体骨折の患者さんは基盤に重度の骨粗鬆症があるため、スクリューを挿入する上下の椎体も骨粗鬆症により弱いためスクリューの固定性が不良なことが多々あります。近年このような骨質の脆弱な椎体へのスクリュー固定性を補強するために、中空のスクリュー越しにセメントを注入して引き抜き強度を飛躍的に上げる治療法が開発されました。
第1腰椎椎体骨折を認めます。MRI検査では圧潰が高度で骨片が後方の神経を圧迫しているのが分かります。強い腰痛、下肢しびれ、不全麻痺により歩けない状態でした。
後方から圧潰した椎体を取り除き神経を除圧して、金属の支柱による椎体置換術を施しました。上下の椎体は骨粗鬆症により脆弱であったため、セメント補強スクリューを使用して引き抜き強度を上げました。固定性が良好なため、術後すぐに離床、歩行訓練を行うことが出来ています。
ひざの治療
加齢にともなう運動器の病気の中で、ひざの痛みで悩んでいる高齢の方が増加しています。その原因となる疾患の中で最も多いのが「変形性膝関節症」です。現在2500万人が罹患しており、そのうち800万人が痛みのある患者さんであると言われています。健康寿命の延伸にはしっかり歩くことが大切ですので、ひざの病気の早期発見と適切な治療が求められています。
主な疾患
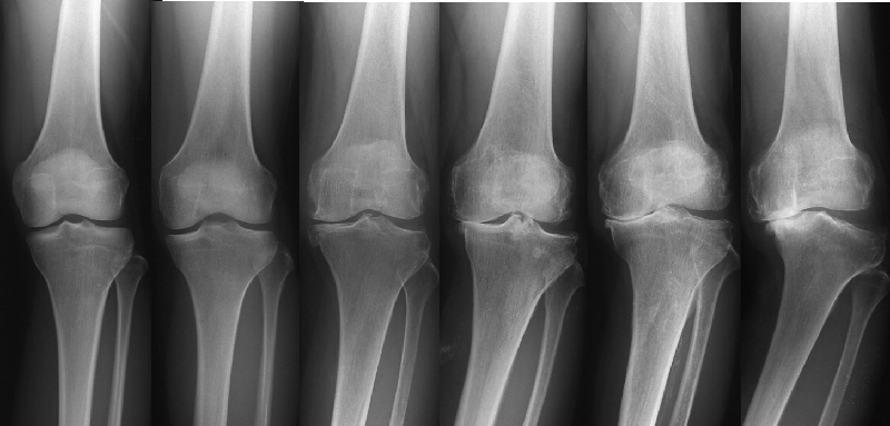
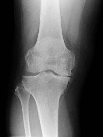
変形性膝関節症
※日本整形外科学会ホームページより抜粋
ひざの軟骨がすり減ったり、なくなったりすることでひざの関節が変形する疾患で、痛みが生じることがあります。
加齢や肥満などはっきりとした原因がない場合は一次性、ひざの軟骨がすり減る原因が怪我や病気等はっきりしている場合は二次性と言います。
左が正常なひざ関節、右に行くほど変形が大きくなっています。
特発性膝骨壊死
65才以上の高齢の女性に多く発症するひざの病気です。まだ原因ははっきりしていません。突然生じるひざの内側の激しい痛み、頑固な関節の腫れ、夜間就眠時の痛みなど症状に特徴があります。
関節リウマチ
典型的なリウマチは30代の女性で、両側の手指の小さな関節の腫れや痛みで発症します。しかし、高齢者では、血液検査でリウマチの反応が陰性で、ひざや肘関節など大きな関節の腫れや痛みで発症するタイプもあり、注意が必要です。複数の血液検査を行い、注意深く経過を観察して診断し、薬による治療を行います。
結晶誘発性関節炎
この中で最も有名な病気は痛風による足の親指の関節炎です。ひざでは痛風の原因である尿酸以外にピロリン酸カルシウムの結晶も関節炎を起こします。突然生じる腫れや発赤、痛みが生じます。
半月板損傷
半月板とは、大腿骨(太ももの骨)と脛骨(すねの骨)のつなぎ目にある軟骨で、膝関節の一部で、骨と骨のクッションの役割をしています。
怪我や捻挫で、半月板が傷つくことで膝の曲げ伸ばしに引っかかりが出たり、水が溜まったりすることがあります。ひどい場合には、急に膝が動かなくなる「ロッキング」という状態になります。
膝靭帯損傷
ひざには内側と外側に側副靱帯、また中央に前・後十字靱帯の四つの靱帯があります。スポーツや怪我で受傷するのは内側の靱帯や前十字靱帯です。
受傷後3週間程度はひざの痛みと動かしづらさがありますが、その後痛み、腫れ、動かしづらさはいずれもよくなってきます。しかし、この頃になると怪我した靱帯によってはひざの不安定感が目立ってくることがあります。これは下り坂やひねり動作の際にはっきりすることが多く、ひざ折れを自覚する場合もあります。
不安定感があるまま放置しておくと、新たに半月板損傷や軟骨損傷などを生じ、慢性的な痛みや腫れが出現します。
軟骨損傷
成人の関節軟骨は、表層、中間層、深層、石灰化層の4つの層からできており、最深層の石灰化層の下には軟骨下骨という骨組織で支えられています。
関節軟骨はひざの骨と骨の間にあり、関節がなめらかに動かす働きをします。また歩行、階段の上り下りや運動などでひざにかかる力を吸収するという重要なクッションの役割を果たします。軟骨そのものの血行が少ないため一度損傷すると自然に治らず、長期間の経過で悪化し、変形性関節症になる場合があります。
治療方法
運動療法と理学療法
体の筋肉、特に下肢の筋肉は年齢と共に筋肉量と筋力が共に低下します。筋肉は関節を守る働きがあり、日頃からよく歩くなど、運動をして筋肉を動かすことが大切です。歩幅が小さくなることで筋肉の使用量が減り、歩く機能が低下してきますので、杖などを利用して転ばないようにしながら歩幅を大きくして歩くと機能低下を防ぐことができます。腰の痛みの治療と共通しますが、痛みの強いときには安静が必要ですが、日頃からよく歩くことを心がけましょう。
ひざの上にある大腿四頭筋はひざの守り神ですから、変形性膝関節症の患者さんには、ひざを伸ばして足を上げる下肢伸展挙上運動を積極的に行うようにと指導します。
ホットパックなどのひざを温める理学療法は筋肉の緊張を和らげ、関節への血液の流れを増加させ、また足底板やひざ装具もひざの状態により痛みを和らげる効果があります。
下肢伸展挙上運動
片ひざを立て、反対の足を伸ばし10センチ程度上げ、5秒数えてから降ろします。
片足10から20回ずつ無理のない範囲で繰り返します。
慣れてきたら500グラムから1キログラムの重りを足につけることでより効果が現れます。
薬物療法
痛みにより日常生活に制限をきたす場合には炎症と痛みを抑える消炎鎮痛薬を処方します。最近では胃腸障害などの副作用を防ぐことを目的に皮膚から高い濃度の鎮痛薬を吸収させる貼付剤が利用できるようになりました。
頑固な腫れを伴う、炎症の強い場合にはステロイドを、また軽度から中等症の変形性膝関節症では、定期的なヒアルロン酸の関節内注射を行います。
手術療法
高齢者に対する主なひざの手術には関節鏡手術、骨切り術、人工関節置換術があります。
関節鏡手術は滑膜炎、遊離体さらに半月板損傷などと痛みの原因が明らかな時に行います。小さな傷で手術ができますので早期に退院ができ、入院期間が短いことが大きな利点となります。
骨切り術は関節を温存することができますので、変形が軽度あるいは中等度、比較的若年で活動性が高い患者さんが適応となります。
変形性膝関節症の術前
高位脛骨骨切り術
骨切り術の術後
人工膝関節全置換術(左:手術前、右:手術後)
人工関節置換術には、ひざの関節すべてを人工関節に取り換える全置換術と、変形した部分のみを取り換える単顆片側置換術があります。全置換術はデザインや材質、手術方法が確立されており、変形性膝関節症に対して最も多く行われている手術です。
当院では人工関節の適切な設置が手術後の成績に最も影響を与えることを考慮し、術前に3D-CTを撮影し、コンピューター支援により、患者さんの膝に最も適した人工関節サイズと設置位置を想定して手術を行っています。
■人工関節手術支援ロボット
脳卒中・神経脊椎センターは2023年、人工関節手術支援ロボットROSA Knee System(Zimmer-Biomet社製)を導入しました。変形性膝関節症の治療で人工関節置換術を選択した患者さんの手術に活用します。
ROSA Kneeは、手術支援ロボット「ダヴィンチ」のように遠隔操作で手術を行うのではなく、あくまで執刀医のサポートを行うロボットです。多関節ロボットアームと光学ユニットから成り立っていて、手術中、光学ユニットが、ひざの正確な位置を把握し、6軸の多関節ロボットアームが滑らかな動きで執刀医の手元を支えます。
これまで医師の経験と技量、また感覚に頼ってきた手術をロボットがサポートすることで、より正確に、より少ない負担で、安全な人工関節を提供することができます。これからも当院は、患者さんの生活の質のさらなる向上と、健康寿命の延伸に貢献していきたいと考えています。
当院での取組
当院では入院時に、退院までの計画書を患者さんへお渡しすることで安心して治療とリハビリが受けられる環境を提供しています。
ひざの手術から術後リハビリの目標を達成し、退院までの期間は1ヶ月程度のことが多く、見通しが立てやすいことから、この計画書の運用を行っています。
また、手術翌日からリハビリを開始することで、住み慣れた地域に速やかにお戻りいただけるように力を入れています。
外来診療担当表
※外来の受診については外来のご案内をご覧ください。
スタッフの紹介
山田 勝崇
副病院長、整形外科部長、手術部長
出身大学・卒業年など
横浜市立大学(平成12年)
医学博士(横浜市立大学・平成26年)
専門分野
脊椎脊髄外科
専門資格
日本整形外科学会専門医
日本整形外科学会人的脊椎脊髄病医
日本脊椎脊髄病学会指導医
所属学会
日本整形外科学会
日本脊椎脊髄病学会
日本側弯症学会
日本腰痛学会(評議員。学会誌査読委員)
日本インストゥルメンテーション学会
日本成人脊柱変形学会
最小侵襲治療学会(MIST学会評議員)
内野洋介医師
整形外科担当部長
出身大学・卒業年など
昭和大学(平成20年)
専門分野
脊椎脊髄外科
専門資格
日本整形外科学会専門医
日本整形外科学会認定脊椎脊髄病医
日本脊椎脊髄病学会指導医
原田拓郎医師
整形外科副医長
出身大学・卒業年
横浜市立大学(平成25年)
専門分野
膝関節外科
整形外科一般
境貴史医師
整形外科副医長
出身大学・卒業年
新潟大学(平成26年)
専門分野
脊椎脊髄外科
専門資格
日本整形外科学会専門医
臼井健人医師
整形外科副医長
出身大学・卒業年
横浜市立大学(平成28年)
専門分野
脊椎脊髄外科
外傷診療
専門資格
日本整形外科学会専門医
諫山周平医師
出身大学・卒業年
横浜市立大学(令和2年)
専門分野
整形外科一般
専門資格
日本整形外科学会専門医
石井亮馬医師
出身大学・卒業年など
横浜市立大学(令和3年)
専門分野
整形外科一般
田中大貴医師
出身大学・卒業年など
横浜市立大学(令和3年)
専門分野
整形外科一般
嶋﨑成泰医師
出身大学・卒業年
金沢大学(令和5年)
専門分野
整形外科一般
診療実績(2025年1月から12月)
このページへのお問合せ
脳卒中・神経脊椎センター地域連携総合相談室
電話:045-753-2500(代表)
電話:045-753-2500(代表)
ファクス:045-753-2904(直通)
ページID:899-989-136






