- 横浜市トップページ
- 健康・医療・福祉
- 健康・医療
- 市立病院
- 横浜市立脳卒中・神経脊椎センター
- 診療科・各部門のご案内
- 整形外科
- 成人脊柱変形について
ここから本文です。
成人脊柱変形について
最終更新日 2026年4月1日
成人脊柱変形とは
成人脊柱変形とは、主に中高年以降に発症・進行する背骨(脊柱)の変形を指します。
加齢により椎間板や関節が変性し、背骨本来のバランスが崩れることで、姿勢や動作に支障をきたすようになります。
若い頃には問題がなくても、長年の体への負担や筋力低下、骨粗鬆症などが重なることで、徐々に症状が現れるのが特徴です。
主な原因
- 椎間板の加齢変性
- 背骨の関節のすり減り
- 骨粗鬆症による圧迫骨折
- 体幹筋力の低下
- もともとの側弯症が成人後に進行するケース
主な症状
- 慢性的な腰痛や背中の痛み
- 立っていると前かがみになる
- 長時間歩くと痛みや疲労が強くなる
- 身長が縮んだように感じる
- 足のしびれや痛みが出ることがある
「痛み」や「日常生活への支障」が治療を考える上で重要なポイントになります。
治療について
治療方針は、症状の程度・年齢・生活への影響を総合的に評価して決定します。
保存療法
内服治療
リハビリテーション
姿勢・体幹筋トレーニング
装具療法
手術治療
保存療法で十分な改善が得られない場合や、神経症状が強い場合には手術を検討します。
治療の目的は、痛みを軽減し、日常生活の質を改善することです。
症例紹介
変性後側弯症で正面・側面ともに体幹バランスが破綻しています。
まず腰椎側方進入前方固定術を行い、ある程度の矯正、土台を形成。
1週間後に胸腰仙椎後方矯正固定術を行いました。正面・側面ともにバランスが良好に維持され、難治性の腰痛が改善しました。
【術前】
典型的な変性後側弯症、成人脊柱変形の症例です。
正面、側面いずれもバランスが破綻していて、立位持続・歩行が困難な状態です。
【術後】
腰椎側方経路椎体間固定術と後方矯正固定術を2回に分けて行い、正面・側面ともに生理的なshapeが獲得されています。
重要なことは、近年この生理的なshapeを取り戻すことが腰痛・歩行障害など患者さんの愁訴の改善に直結することが分かっていることです。
【術前】
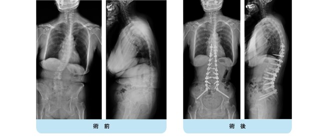
典型的な思春期特発性側弯症遺残変形・進行に伴う変性後側弯症・成人脊柱変形の患者さんです。
正面・側面のバランスは破綻していて、難治性腰痛・脊柱管狭窄由来の下肢神経痛のためほぼ寝たきりとなっていました。
【術後】
通常通り侵襲を軽減する目的で腰椎側方経路椎体間固定術、後方矯正固定術を2回に分けて行いました。
正面・側面のバランスは良好で生理的な腰仙椎・体幹のshapeが獲得されています。
腰痛、下肢神経痛は皆無となり、適度の散歩など穏やかな日常生活がおくれるようになりました。
高度腰曲がり・脊柱後弯症・成人脊柱変形の患者さんです。
難治性の腰痛、バランス不良により歩くことも困難な状態でした。
腰椎側方経路椎体間固定術と後方矯正固定術を2回に分けて行い、生理的な胸椎後弯・腰仙椎前弯・骨盤前傾が復元されました。
腰痛・歩行障害は改善し、近所のスーパーへ歩いて買い物にも行けるようになり、台所の仕事も痛みなく出来るようになりました。
受診の目安
- 慢性的な腰痛や背部痛が続く
- 姿勢の変化が気になる
- 歩行がつらくなってきた
- 足のしびれが出てきた
気になる症状があれば、早めの受診をおすすめします。
外来のご案内
このページへのお問合せ
脳卒中・神経脊椎センター地域連携総合相談室
電話:045-753-2500
電話:045-753-2500
ファクス:045-753-2894
メールアドレス:by-no-chiiki@city.yokohama.lg.jp
ページID:163-225-349





