ここから本文です。
MR検査
最終更新日 2020年6月18日
検査の概要
MR検査で得られる画像をMRIといいますが、MRIはMagnetic Resonance Imagingの略で、日本語では磁気共鳴画像と訳されます。
MR検査は、磁力と電磁波の力を利用して体内の断面像を得る検査です。
X線を用いませんので、放射線被ばくがありません。
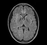
頭部MR検査
画像コントラストが優れており、脳の詳細な構造を描出することが可能です。
造影剤を使用しなくても血管の形態を描出することが可能です。
腰椎MR検査
画像コントラストが優れており、骨以外に椎間板や神経も描出することが可能です。
当院の設備
当院では、静磁場強度の異なる2台のMR装置を導入しています。
撮影する部位や検査の目的、患者様の症状に合わせて、各装置の特性を活かした検査ができるよう努めています。
SIGNA Explorer
GEヘルスケアジャパン社製
- 1.5 TのMR装置です。
- 着脱型の寝台を採用し、移動が困難な患者様の負担を軽減しています。
- また、寝台が最大49cmまで下がるため、小さなお子様でも乗り降りしやすくなっています。
- 高度な体動補正技術を多数搭載しており、様々な患者様や検査に対応できます。
Ingenia 3.0T
フィリップス社製
- 3.0TのMR装置です。
- 高磁場により、解像度の高い画像を提供できます。
- 患者様が知覚する傾斜磁場騒音を従来よりも軽減しています。
- 開口径が70cmとゆとりがあるため、検査中の圧迫感を緩和しています。
このページへのお問合せ
脳卒中・神経脊椎センター
電話:045-753-2500(代表)
電話:045-753-2500(代表)
ファクス:045-753-2894
ページID:821-390-666





