ここから本文です。
血管撮影検査
最終更新日 2024年4月1日
検査の概要
カテーテルと呼ばれるやわらかく細いチューブを腕や脚の付け根の血管から挿入し、X線透視画像を見ながら目的の血管までカテーテルを進め、カテーテルの先端から造影剤を注入して撮影することで、様々な方向から血管の形態を見る検査です。
血管を三次元的に表示させて、動脈瘤の複雑な形や、狭くなってしまった血管などを詳細に観察することもできます。
カテーテルからは造影剤のほかにも、コイルやステント、バルーンといった器具を挿入できるため、血管撮影で見つかった異常に対して血管内治療を行うことも可能です。
当院では、脳動脈瘤に対するコイル塞栓術や頸動脈狭窄に対するステント留置術、急性期の脳梗塞に対する血栓回収療法といった血管内治療を行っています。
脳動脈瘤塞栓術
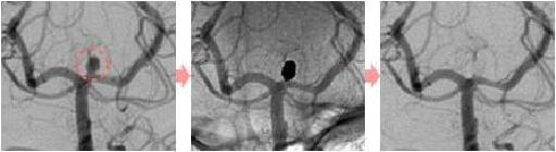
脳動脈瘤が破裂して出血するのを防ぐために、脳動脈瘤にコイルを詰めて血液が入り込まないようにする手術です。
術後に血管撮影を行うと、コイルで置き換わった脳動脈瘤は造影剤が入らないため描出されなくなります。
頸動脈ステント留置術
術前
術後
狭くなり血流が悪くなってしまった頸動脈に、ステントと呼ばれる金属性のメッシュ状の筒を留置して血管を拡張させ、血流を回復させる手術です。
血栓回収療法
術前
術後
脳の血管に血栓が詰まって血流が途絶えると、脳細胞は急速に壊死していき脳梗塞を起こします。
脳梗塞による重篤な後遺症をできるだけ回避できるよう、可能な限り早く詰まった血栓を取り除いて血流を再開させ、脳へのダメージを最小に抑えることを目的に行う治療です。
閉塞血管までカテーテルを進め、器具を用いて血栓を掻き出したり吸い出したりして取り除きます。
BKP
血管撮影検査を行う検査室は、手術室に準ずる清潔度を有しています。
そのため、血管撮影のほかに整形外科領域の手術の一部を行うこともあります。
BKPはBalloon Kyphoplastyの略で、日本語では経皮的椎体形成術といいます。
骨粗しょう症による脊椎圧迫骨折でつぶれてしまった椎体に、X線透視画像で確認しながら骨セメントを詰めて、骨折前の椎体の形に近づける手術です。
椎体を安定させることで、痛みをやわらげる効果が期待できます。
当院の設備
Artis zee biplane
シーメンス社製
- HDRフラットパネルディテクタを搭載した装置で、濃淡の階調度が従来の4倍に向上しており、コントラスト分解能の優れた画像を提供できます。
- また、複数の自動露出制御機構を有しており、放射線量を最適化して検査が行えます。
このページへのお問合せ
脳卒中・神経脊椎センター
電話:045-753-2500(代表)
電話:045-753-2500(代表)
ファクス:045-753-2894
ページID:452-698-626





