ここから本文です。
CT検査
最終更新日 2024年4月1日
検査の概要
CTとは、Computed Tomographyの略語であり、日本語ではコンピュータ断層撮影法と訳されます。
人体のまわりからX線を照射し、透過したX線の強弱から人体の内部構造を画像化することにより、あらゆる角度の断面で体内の様子を観察することができます。
頭部CT検査
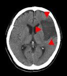
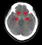
十数秒の撮影で、脳内の状態を知ることできます。

画像例では、脳の正常部分に対して白く描出されている部分があることで、脳内出血、くも膜下出血が起きていることがわかります。
反対に、黒く描出されている部分があることで、脳梗塞が起きていることがわかります。
画像の濃淡を調整すると、頭蓋骨骨折の有無を確認することもできます。
また、造影剤を注射しながら撮影することで、動脈瘤や腫瘍などのより詳細な観察が可能になります。
脊椎CT検査
椎体の変形や骨折、配列の乱れ、腫瘍などを任意の断面で観察することができます。

画像処理によって、立体的に表示させることも可能です。
当院の設備
AquilionONE
キヤノンメディカルシステムズ社製
2021年3月に導入した320列CTです。
寝台移動がなく1回転で160ミリメートルの広い範囲が撮影できるため、短時間でも鮮明な画像を得られます。特に、緊急検査や、造影剤を使用した脳全体の血流評価、心臓の評価に威力を発揮します。
また、被ばく低減の画像再構成処理が大幅に向上し、体幹部では従来の4分の1の放射線量で撮影を行うことができます。
その他、デュアルエナジー撮影での骨折評価、4D撮影による骨関節の動態評価など、整形領域でもより高度な検査ができるようになりました。
このページへのお問合せ
脳卒中・神経脊椎センター
電話:045-753-2500(代表)
電話:045-753-2500(代表)
ファクス:045-753-2894
ページID:924-180-111





