ここから本文です。
脳神経外科
最終更新日 2026年4月1日
特徴
脳神経外科では、主に脳卒中の原因となる脳血管疾患の手術治療を担当します。
脳梗塞、脳出血、くも膜下出血などの急性期の脳卒中対応のみならず、慢性期の脳卒中再発予防のための血行再建術に関わります。
脳神経外科の手術
手術には、「切る」外科的治療と「切らない」血管内治療があります。
当院では従来からカテーテルと呼ばれる細い管を病変に到達させて治療する血管内治療に積極的に取り組み、小児・周産期以外の脳卒中の血管内治療に24時間365日対応してきました。
一方で、疾患によっては血管内治療のみでは治療が完結しない場合があり、「切る」外科的治療にも習熟した医師の元、その二つの治療を使い分け、時に組み合わせたハイブリッド治療を含め、患者さん一人のひとりの状況に合わせて最適で負担が少ない治療を選択致します。
最適な治療の選択のために
当院では3テスラMRI、320列CT、脳血流SPECT、三次元脳血管撮影装置(3D―DSA)などの高機能な検査機器を用いて正確な診断を行い、必要に応じて脳神経内科やリハビリテーション科による神経機能評価を加え手術適応を決定しています。
また、急性期の頭部外傷の救急対応(主に単独外傷)や、一般外来では頭痛、ふらつきやめまい、けいれん、歩行障害などの症状に対する診察はもちろん、近隣医療施設からの要請が多い「脳血管疾患」の再発を含めた予防、「頭部外傷」急性期から慢性期の治療相談、「特発性正常圧水頭症」についての精査と治療、三叉神経痛や顔面けいれんに対する微小血管減圧術など脳神経外科疾患一般についても専門領域の指導医を中心に診断・治療を行います。
対象疾患と治療法
出血性脳卒中
くも膜下出血(破裂脳動脈瘤)、脳動静脈奇形・硬膜動静脈瘻、脳内出血など
脳動脈瘤
脳動脈瘤(脳内の動脈にできた膨らみ)の破裂により、脳脊髄液のある脳の表面のくも膜下腔に血液が流れ出てくも膜下出血が発症します。典型的には、ハンマーで殴られたような激しい頭痛で発症し、多くの場合嘔吐を伴います。また意識低下で発症することもあります。
外科的治療では、開頭して脳動脈瘤の頸部を金属製のクリップで閉塞するクリッピング術が行われます。脳血管内治療では予防的に、血管を通して未破裂脳動脈瘤内に到達し、プラチナ製のコイルを動脈瘤に詰めるコイル塞栓術が行われます。年齢、全身状態、脳動脈瘤の形態から、より安全で確実な治療手段を選択しています。
(下図)双こぶ状の脳動脈瘤に対してステント(金網でできた筒)を併用してコイル塞栓術を施行しました。動脈瘤は完全に閉塞しています。
未破裂脳動脈瘤の3D画像
未破裂脳動脈瘤
コイル塞栓術後
脳動静脈奇形・硬膜動静脈瘻
脳出血やくも膜下出血、けいれんの原因となります。疾患の性状が多様であることから、適切に外科的治療・脳血管内治療を選択することが必要で、当院ではそれらを組み合わせたハイブリッド治療にも対応します。
(下図)けいれんで発症した大型の脳動静脈奇形を、液体塞栓物質Onyxを用いて塞栓しました。ほぼ完全な閉塞が得られています。
脳動静脈奇形
脳動静脈奇形
塞栓術後
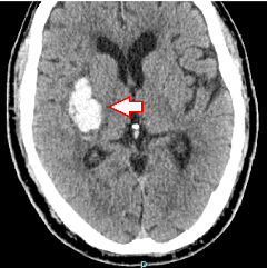
脳内出血
高血圧が原因となり、もろくなった脳内の小血管に動脈瘤が破れて脳内に出血します。出血の部位やサイズによって、開頭血腫除去術・定位血腫吸引術や脳室ドレナージ術などが行われます。
(下図1)右被殻出血で突然の左半身のまひが起こった症例です。
(下図2)脳皮質下での出血が脳室まで広がった脳室穿破の症例です。
右被殻出血
脳皮質下出血
虚血性脳卒中
頸動脈狭窄症、頭蓋内動脈狭窄症、もやもや病、急性期脳主幹動脈閉塞症など
当院では虚血性脳卒中については、全身管理や再発予防などで内科的治療も重要な役割を担うことから、脳神経内科と共同して治療を行っています。
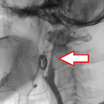
頸動脈狭窄症
脳梗塞の原因となります。外科的治療では、直接血管を切開して動脈硬化の部分を取り除く頸動脈内膜剥離術(CEA)が行われます。血管内治療では、動脈硬化による狭い部分にステント(金網でできた筒)を送り込んで拡張する頸動脈ステント留置術(CAS)が行われます。
(下図)内頸動脈狭窄症に対して頸動脈ステント留置術を施行しました。良好な拡張が得られています。
頸動脈狭窄症、〇が狭窄している部分
頸動脈ステント留置術後
頭蓋内動脈狭窄症・もやもや病
狭窄の部位や病態などによって、外科的治療(バイパス手術)、脳血管内治療(バルーン血管形成術・ステント留置術)が選択されます。年齢、全身状態、狭窄部の性状から、より安全で確実な治療手段を選択しています。
頭蓋内動脈狭窄症
左側の中大動脈が狭窄しており、血流が滞っています。
この状態を放置すると脳梗塞を発症するリスクがあります。
頭蓋内動脈狭窄症(MRA)
頭蓋内動脈狭窄症(CTP)
散在性脳梗塞(MRI)
もやもや病
頭蓋内血管の閉塞がみられます。血管造影では血管が閉塞し、周囲に「もやもや病」がみられます。
バイパス手術によって血管が頭蓋骨を通り、皮膚の太い血管と脳をつなげて治療します。
もやもや病のMRA画像
血管造影検査の画像
バイパス術後のCTA画像
急性期脳主幹動脈閉塞症
脳梗塞の中でも重症な急性期脳主幹動脈閉塞症については、迅速な診断を行い血栓回収療法が開始できる体制が極めて重要です。しかしながら横浜市においても、24時間365日血管内治療に対応できる施設は決して多くないのが現状です。当院は脳血管内治療医の増員によって常時治療可能な体制を整備し、脳神経外科・脳神経内科で共同して診療に当たっています。治療に当たってはステント型血栓回収機器や血栓吸引カテーテルを駆使して、80~90%の症例で有効な再開通を得ています。
(下図)右片麻痺と意識障害で発症した左内頸動脈閉塞症で、ペナンブラ血栓吸引カテーテルとステント型血栓回収機器で血栓回収療法を施行しました。完全再開通が得られ、症状は改善しました。
急性脳主幹動脈閉塞症
術中の様子
血栓回収の術後
頭部外傷
頭部外傷は交通事故などの高エネルギー外傷から、スポーツや転倒による外傷まで様々です。外傷の種類には、皮膚の裂傷(縫合処置を要するもの)、頭蓋骨骨折、外傷性頭蓋内出血(急性硬膜下血腫や急性硬膜外血腫、脳挫傷など)、脳振盪など様々です。私たちは、これらの幅広い頭部外傷の患者さんの治療にあたっています。
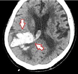
急性硬膜下血腫
急性硬膜下血腫
急性硬膜下血腫は脳と頭蓋骨の間に出血するため、脳が血腫により圧迫され、意識障害や麻痺を来す重症の疾患です。
緊急で手術を行なうことで脳の損傷を最小限に抑える外科治療や、脳を保護するための内科的治療を組み合わせて治療を行ないます。
画像では右側頭部に血腫ができています。
慢性硬膜下血腫
慢性硬膜下血腫
慢性硬膜下血腫は頭部の軽いケガや打撃をきっかけに、約1,2ヶ月後に頭の中に血がたまる病気です。
脳が血腫によりじわじわ圧迫され、ついに麻痺や意識障害,認知機能障害を来します。手術治療により比較的良好な経過が期待できます。
画像では左側頭部に灰色の血腫ができています。
脳振盪
脳振盪はほとんどの場合自然に改善するため予後の良い疾患ですが、特にスポーツに関連する脳振盪は繰り返し受傷するリスクが高いため注意が必要です。また、まれに頭痛やめまい、睡眠障害、精神的な変動が長く続く方もいます。スポーツに関連する脳振盪や、長引く脳振盪症状は専門医への受診をお勧めします。
最後に、「転びやすくなった」「最近よく転ぶ」といった場合には、頭のケガが治ってもまたケガをすることが少なくありません。歩行の不安定性や歩き方が変わった(すり足)などの場合には、原因となる疾患を調べることも重要です。このような場合にも外来への受診をお勧めします。
特発性正常圧水頭症(iNPH)
高齢化社会の課題の一つに認知症患者の増加があります。現在65歳以上の7人に1人は認知症を患っているとされ、今後ますます増加すると予測されています。
もの忘れを来す病気もいろいろありますが、ここでは 特発性 正常圧 水頭症(iNPH)という病気を紹介します。正常圧水頭症は脳神経外科領域ではくも膜下出血などに引き続き発生する「 続発性」の病気として以前より手術治療されてきました。「 特発性」とは原因となる病気が不明であることを意味し、思い当たるきっかけも無くゆっくりと病気が進行します。このiNPHは、高齢者人口の1.1%、およそ37万人の患者数と試算されていますが、診断に至っていないケースも多いと考えられています。
■iNPHに気づくのはどんな場面か?
iNPHは高齢者に発生します。病気を疑う症状として、 歩き方や姿勢、物忘れや頻回の尿意などの3つにご注意下さい。
歩行の症状は、初期から出現し、歩くのが遅くなる、小股でよちよち歩く、足を開いてがに股で歩く、足を挙げずに歩く(すり足)、体の向きを変えるのが苦手で転びやすいなどが特徴です。病気が進行すると立位や座位の保持が困難になります。
もの忘れは、日常の動作がもたもたして、手際が悪くなったと感ずることが多いようです。また元気がなくなり、塞ぎ込むこともあります。
排尿の症状は、3つなかで最も遅く出現するとされ、頻回に尿意を催す「 頻 尿」やトイレに間に合わない「 切迫性 尿 失禁」が出現します。
これらの症状は、高齢者によくある症状でゆっくりとすすむため、見逃されがちです。これらの症状に思い悩む場合、脳神経外科か脳神経内科への受診をお勧めします。
通常iNPHを疑う場合、問診や診察に加え頭部CTやMRIなどの画像診断を行います。もの忘れを引き起こす他の病気と見分けることが重要です。iNPHには特徴的な画像所見があり、この場合、高い治療効果が期待できます。加えて脳脊髄液排除テストという検査で治療の有効性を見立てます。
これらの過程を経てiNPHと診断された場合、 髄液シャント手術が唯一の治療となります。診断治療ガイドラインの作成以降、適切に診断され治療を受けるケースが徐々に増えています。しかし、診断が遅れ病状が進行すると十分な治療効果が得られない場合もあり、早期に確実な診断を行うことが重要です。最善の選択が出来るよう診療にあたっています。
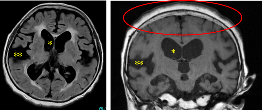
典型的な特発性正常圧水頭症の画像所見 (MRI 左:軸位断 右:冠状断)
* 脳室拡大
** シルビウス裂開大
〇 高位円蓋部脳溝狭小化所見
JND (Japan Neurosurgical Database)
当院では一般社団法人日本脳神経外科学会データベース研究事業に協力し、治療を行なった患者さんのデータベース登録事業を行なっております。本研究事業の詳細は、こちら(JND)からご確認ください。
外来診療担当表
スタッフの紹介
大塩恒太郎医師
副病院長、脳神経外科部長、水頭症センター長、地域連携総合相談室長
出身大学・卒業年など
聖マリアンナ医科大学(平成4年)
医学博士(聖マリアンナ医科大学大学院・平成12年)
専門分野
脳血管障害
脳卒中の外科手術
頭部外傷
正常圧水頭症
専門資格
日本脳神経外科学会専門医・指導医
日本脳卒中の外科学会技術指導医
日本脳卒中学会専門医・指導医
日本脳神経外傷学会認定専門医
日本スポーツ協会公認スポーツドクター
日本神経内視鏡学会技術認定医
阿部浩征医師
副医長
出身大学・卒業年など
札幌医科大学(平成27年)
専門分野
脳神経外科一般
専門資格
日本脳神経外科学会専門医
日本脳神経血管内治療学会専門医
日本脳卒中学会専門医
塩田雅朗医師
出身大学・卒業年など
横浜市立大学(令和3年)
専門分野
脳神経外科一般
野村綜一郎医師
出身大学・卒業年
浜松医科大学(令和3年)
専門分野
脳神経外科一般
古川紀光医師
出身大学・卒業年
国際医療福祉大学(令和5年)
専門分野
脳神経外科一般
診療実績
このページへのお問合せ
脳卒中・神経脊椎センター医事課
電話:045-753-2500(代表)
電話:045-753-2500(代表)
ファクス:045-753-2904(直通)
ページID:637-044-825





