ここから本文です。
X線透視検査
最終更新日 2023年10月20日
検査の概要
X線を利用して人体を透視する検査です。
見えづらい臓器の形や動きを、リアルタイムによる映像として観察することができます。
その性質から、X線テレビ検査と呼ばれることもあります。
検査の内容は多岐にわたりますが、多くの場合、より観察しやすくするために、造影剤を使用して検査します。
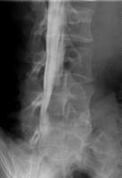
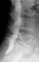
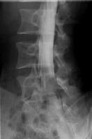
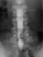
ミエログラフィー
背中に針を刺して、神経が通っている硬膜管内に造影剤を注入し、脊柱管の形状や障害を調べる検査です。
姿勢を変えたときの脊柱管の変化も見ることができるので、手術による治療計画を立てる際に役に立ちます。
ミエログラフィー後にCT検査を追加することで、より詳細に脊柱管の状態を見ることができます。
神経根ブロック
X線透視画像を確認しながら神経の根元に針を誘導し、局所麻酔を注入して腰痛などの症状を改善する治療です。
局所麻酔の代わりに、専用針から高周波を流して神経を熱凝固させることで、同様の効果を得る方法もあります。
全脊椎撮影
脊椎全体の配列を観察する検査です。
自然位で寝た状態から、体を左右に曲げた側屈位や、腕と脚を引っ張った伸展矯正位、背中を反らせた最大後屈位などを撮影します。
EOS検査の立位荷重位と比較することが可能です。
嚥下造影
食べ物を飲み込む機能の障害の有無や程度を診る検査です。
造影剤の入った飲み物や食べ物を飲み込み、それらが口からのど、食道へと進んでいく様子をX線透視で観察します。
当院の設備
VersiFlex VISTA
日立製作所社製
- 独自に開発された画像処理技術により、低被ばくで高画質の画像が得られます。
- 高性能な画像補間アルゴリズムを採用しており、鮮明に見たい部分を違和感なく拡大表示することができます。
このページへのお問合せ
脳卒中・神経脊椎センター
電話:045-753-2500(代表)
電話:045-753-2500(代表)
ファクス:045-753-2894
ページID:248-158-110





