ここから本文です。
X線撮影検査
最終更新日 2024年4月1日
検査の概要
X線撮影検査は、人体にX線を照射し、透過したX線の強度差から骨や臓器の形態を画像化する検査です。
一般撮影検査、レントゲン検査などと呼ばれることもあります。
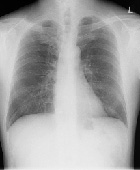
胸部X線撮影
肺や心臓の状態を見ることができます。
腰椎X線撮影
腰椎の形態や配列の状態、関節の状態を見ることができます。
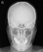
頭部X線撮影
骨折や手術痕など、頭蓋骨の形状を見ることができます。
また、頭蓋内に挿入したコイルやクリップなどの経時的な観察ができます。
当院の設備
2020年9月にシステムが新しくなりました。
RADspeed Pro
島津製作所社製
- 撮影条件連動機能や位置決めの連動機能が付加されたことにより、撮影準備が省力化され、患者さんの待ち時間や検査時間の短縮につながっています。
CALNEO Smart
富士フイルム社製
- 読み取り方式の改良により、より少ないX線で高画質な画像を得ることが可能になりました。
このページへのお問合せ
脳卒中・神経脊椎センター
電話:045-753-2500(代表)
電話:045-753-2500(代表)
ファクス:045-753-2894
ページID:526-322-289





